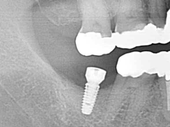
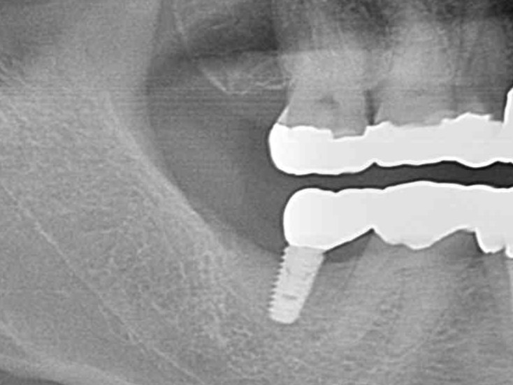
あごの骨にチタン性の人工歯根を埋め込み、噛む力を再生させる治療法です。
チタン性のインプラントは1965年にスウェーデンで開発され、日本では1996年頃から歯を失った部分の治療の選択肢としてインプラントが普及してきました。現在世界中で約100種類のインプラントがあり、日本では20種類以上のインプラントが国に認可されています。
※当院はアストラテックインプラントおよびオクタフィックスインプラントを使用しています。
(社)日本口腔インプラント学会認定 専門医
インプラント手術は正確な診断と治療計画、そして高度な技術を必要とします。我が国において、2007年、国が認定する
インプラント専門医制度が誕生しました。研修と業績そして試験をクリアしたものに与えられる専門医の資格です。
私も2007年度より「インプラント専門医」の資格を有しています。
デジタルパノラマエックス線、歯周病検査等 保険適応内です。
※カウンセリング無料

11万円/本(税込)
本数に関わらず手術料5.5万円(税込)歯型をとり、
一旦仮の土台が入ります。本物の土台を入れ、もう一度歯型をとります。

歯が入ります。
金属(金歯)・・6.6万円/本(税込)
白い歯(ジルコニア)・・11万円/本(税込)
※1次手術の時、骨の移植が必要な場合がありますが加算料金はありません。
※2次手術の時、歯肉の移植手術が必要な場合がありますが加算料金はありません。


インプラント治療に年齢制限はありますか?
女性で16歳、男性で18歳以上であれば、特に年齢制限はありません。
インプラントの手術は安全ですか?痛みはどれくらい伴いますか?
当院は、厚労省の認定するインプラント専門医です。〒240-0013 神奈川県横浜市保土ヶ谷区帷子町2-106-4-102
| 診療時間 | 月 | 火 | 水 | 木 | 金 | 土 | 日・祝 |
|---|---|---|---|---|---|---|---|
| 09:30 - 13:00 | ● | ● | ● | ー | ● | ● | 月1回 |
| 14:30 - 22:00 | ● | ● | ● | ー | ● | 18時まで | 17時まで |